Paciente no Reino Unido é o primeiro vacinado contra câncer de pulmão
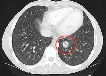
Patrick Motta Jr - Rios de Notícias MANAUS (AM) - O britânico Janusz Racz, de 67 anos, foi o primeiro ...
Patrick Motta Jr - Rios de Notícias MANAUS (AM) - O britânico Janusz Racz, de 67 anos, foi o primeiro ...
Redação Rios BRASIL - O câncer de pulmão é a terceira doença que mais mata homens e a quarta em ...