Redação Rios
BRASIL – O câncer de pulmão é a terceira doença que mais mata homens e a quarta em mulheres no Brasil, segundo o Inca (Instituto Nacional do Câncer), e atinge 2,1 milhões de pessoas em todo o mundo. Em 90% dos casos, a causa desse tumor está vinculada ao tabagismo e o restante deve-se a fatores genéticos.
Embora seja mais prevalente em idosos, em média a partir dos 70 anos, é importante ressaltar que o câncer de pulmão também pode acometer pessoas em qualquer idade, mas uma das preocupações é que em estágios iniciais a doença pode ser assintomática.
Para conscientizar a população, foi criado uma data especial de alerta para o câncer de pulmão: o agosto branco. Durante todo o mês, ocorrem diferenças ações com o intuito de conscientizar e mobilizar a população para os riscos decorrentes do uso do cigarro e para disseminar outras informações importantes sobre prevenção do câncer de pulmão.
Segundo o Dr. Augusto Romão, médico radiologista e CEO da One Laudos, entre os sintomas da doença estão a tosse e a rouquidão persistentes, sangramento pelas vias respiratórias, dor no peito, dificuldade para respirar, fraqueza e perda de peso sem causa aparente.
Leia também: Adolescente com membro amputado volta a andar após reabilitação e prótese
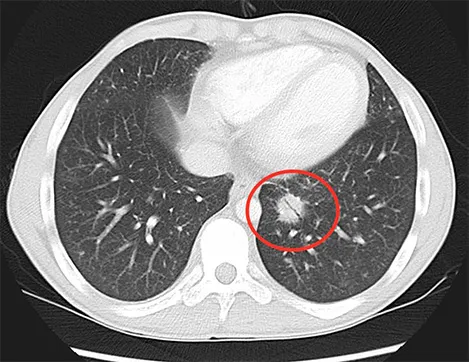
Os exames de diagnóstico por imagem são aliados na detecção dessa doença. De acordo com o médico, com esses recursos é possível localizar lesões nos pulmões do paciente e são importantes também para identificar a extensão da doença”, esclarece.
Com o avanço da tecnologia, a medicina diagnóstica é uma aliada no rastreamento dessa doença. Além da radiografia, a tomografia computadorizada do tórax é outro recurso para identificar nódulos ou massas suspeitas no pulmão, permitindo determinar o tamanho, a localização exata do tumor e a presença de metástases, quando o câncer atingiu outros órgãos.
Segundo o Dr. Augusto Romão, a tomografia computadorizada também é utilizada quando há necessidade de biópsias em áreas suspeita de câncer.
Outro método de diagnóstico por imagem é a ressonância magnética, que recorre a ondas eletromagnéticas para a formação de imagens “Esse tipo de recurso costuma ser usado em segundo plano não exatamente para identificar o câncer de pulmão, mas para verificar se a doença acometeu disseminou para o cérebro ou medula espinhal”, informa.
*Com informações da Agência Estado






